آیا تا به حال برآمدگی های کوچک و تخت روی صورت یا دستان خود دیده اید که نمی دانید چی هستند؟ شاید آن ها را با جوش یا لکه های پوستی اشتباه گرفته اید. این برآمدگی ها می توانند زگیل تخت باشند که نوعی ضایعه پوستی صاف، کوچک تر و هموارتر از سایر زگیل ها است و بدون درد است.
در این مقاله، همه چیز درباره زگیل صاف را به صورت علمی برسی می کنیم تا بدانید چطور آن ها را بشناسید، درمان کنید و از بروزشان پیشگیری کنید.

زگیل تخت دقیقا چیست؟
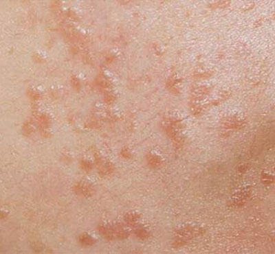
زگیل تخت (Flat Wart یا Verruca Plana) یک ضایعه پوستی خوش خیم است که به شکل برآمدگی های کوچک، تخت و صاف روی سطح پوست ظاهر می شود. این زگیل ها بر خلاف زگیل های معمولی که برجسته هستند، سطحی کاملا صاف دارند و به همین دلیل گاهی اصلا به چشم نمی آیند.
ویژگی های ظاهری زگیل تخت
- اندازه: بین 1 تا 5 میلی متر – تقریبا به اندازه سر یک سوزن
- شکل: گرد یا بیضی
- رنگ: همرنگ پوست، صورتی، زرد یا قهوه ای مایل به زرد
- سطح: کاملا صاف و تخت
- تعداد: این زگیل ها به صورت گروهی ظاهر می شوند – از 20 تا بیش از 100 عدد در یک ناحیه

علت ایجاد زگیل صاف
عامل اصلی ایجاد تمام زگیل ها، ویروسی به نام پاپیلومای انسانی (HPV) است. این ویروس بیش از 100 نوع مختلف دارد. زگیل صاف توسط تیپ های 3، 10، 28 و 49 ویروس HPV ایجاد می شود.
نکته مهم درباره خوش خیم بودن این ویروس
تیپ های HPV که زگیل صاف ایجاد می کنند، کاملا خوش خیم هستند و با تیپ هایی که زگیل تناسلی یا سرطان دهانه رحم ایجاد می کنند، متفاوت اند. بنابراین نگرانی درباره سرطانی شدن این زگیل ها بی مورد است.
ویروس HPV چگونه وارد بدن می شود؟
ویروس HPV از طریق بریدگی ها، خراش ها یا زخم های کوچک روی پوست وارد بدن می شود. این ویروس در محیط های گرم و مرطوب زنده می ماند و پس از ورود به بدن، لایه بالایی پوست را ضخیم می کند و زگیل تشکیل می شود.
مشاوره + درمان زگیل تخت
چرا به آن “زگیل جوانان” می گویند؟
زگیل صاف با نام “زگیل جوانان” (Juvenile Warts) نیز شناخته می شود. دلیل این نام گذاری آن است که این نوع زگیل بیشتر در کودکان و نوجوانان دیده می شود. آمارها نشان می دهد که زگیل های غیر تناسلی در 7 تا 10 درصد جمعیت رخ می دهند و بیشترین موارد مربوط به افراد 12 تا 16 ساله است.

زگیل صاف روی کدام قسمت های بدن ظاهر می شود؟
محل های شایع
- صورت: شایع ترین محل ظهور زگیل صاف
- پشت دست ها: دومین محل رایج
- ساق پا: به خصوص در خانم ها
- ناحیه ریش: در آقایان
- گردن، انگشتان و بازوها
چرا اصلاح کردن زگیل صاف را گسترش می دهد؟
یکی از ویژگی های جالب زگیل صاف این است که اطراف خراش ها و بریدگی ها ظاهر می شود. به همین دلیل:
- در آقایان: زگیل صاف در ناحیه ریش و صورت به دلیل تیغ زدن شایع است
- در خانم ها: روی ساق پا به دلیل اصلاح مو های پا دیده می شود
هر بار که تیغ روی زگیل می کشید، ویروس را به نقاط دیگر پوست منتقل می کنید.

چه کسانی بیشتر در معرض ابتلا هستند؟
- تماس پوستی با فرد مبتلا: ویروس HPV از طریق تماس مستقیم پوست با پوست منتقل می شود
- داشتن زخم و خراش روی پوست: کودکان به دلیل داشتن خراش های متعدد بیشتر مبتلا می شوند
- سیستم ایمنی ضعیف: افرادی که به دلیل بیماری های مزمن، شیمی درمانی، پرتو درمانی یا مصرف داروهای خاص سیستم ایمنی ضعیفی دارند
- رعایت نکردن بهداشت: شستن نامنظم دست ها و استفاده مشترک از وسایل شخصی
- نوجوانانی که تازه اصلاح می کنند: به دلیل بریدگی های ناشی از بی تجربگی در تیغ زدن
- افراد مبتلا به آکنه: لمس مکرر صورت و خاراندن پوست راه ورود ویروس را باز می کند

آیا زگیل تخت مسری است؟
بله، زگیل صاف مسری است اما شدت سرایت آن بالا نیست. راه های انتقال ویروس عبارتند از:
- تماس مستقیم پوست با پوست: لمس زگیل فرد مبتلا
- انتقال از یک نقطه بدن به نقطه دیگر: مثلا با خاراندن یا اصلاح کردن
- تماس با اشیای آلوده: حوله، لباس یا وسایل شخصی فرد مبتلا (البته این راه کمتر شایع است)
بخوانید: دروغ های بزرگ در مورد زگیل تناسلی

تشخیص زگیل تخت
معاینه بالینی
پزشک در بیشتر موارد می تواند زگیل صاف را صرفا با مشاهده ظاهر آن تشخیص دهد. ویژگی های بارز مثل اندازه کوچک، سطح صاف و ظاهر شدن به صورت گروهی، تشخیص را آسان می کند.
بیوپسی
در موارد نادر که تشخیص قطعی نباشد، پزشک ممکن است نمونه برداری (بیوپسی) انجام دهد تا از ماهیت ضایعه مطمئن شود. همچنین ممکن است شما را به متخصص پوست (درماتولوژیست) ارجاع دهد.
مشاوره + درمان زگیل تختبخوانید: زگیل یا پاپیلوم روی پلک و درمان آن + هزینه درمان آن

درمان زگیل تخت
درمان های خانگی و داروهای بدون نسخه
اسید سالیسیلیک: داروهای بدون نسخه حاوی اسید سالیسیلیک با حل کردن لایه های آلوده پوست عمل می کنند. اما توجه داشته باشید که اثربخشی این داروها در مطالعات علمی کاملا تایید نشده و ممکن است پوست را تحریک کنند.
بنزوئیل پروکساید 5 درصد: این ماده بدون نسخه در دسترس است و پزشکان گاهی آن را توصیه می کنند.
درمان های تجویزی توسط پزشک
چون زگیل صاف بیشتر روی صورت و دست ظاهر می شود، پزشکان درمان های ملایم تر را ترجیح می دهند تا جای زخم باقی نماند:
1. کرم های موضعی:
- ترتینوئین (رتینوئیک اسید 0.05 درصد): این کرم پوست را تحریک کرده و لایه لایه شدن آن باعث کنده شدن زگیل می شود
- ایمیکویمود 5 درصد: سیستم ایمنی پوست را تحریک می کند
- فلوئورواوراسیل: در غلظت های 1 یا 5 درصد موجود است
2. کرایوتراپی (انجماد درمانی):
پزشک با استفاده از نیتروژن مایع زگیل را منجمد می کند. دمای بسیار پایین باعث تخریب بافت زگیل می شود.
3. الکتروکوتری (سوزاندن):
استفاده از سوزن الکتریکی یا لیزر برای سوزاندن و از بین بردن زگیل.
4. کانتاریدین:
این ماده شیمیایی باعث ایجاد تاول زیر زگیل می شود و آن را از پوست جدا می کند.
5. برداشتن جراحی:
پزشک با اسکالپل زگیل را می تراشد یا برش می دهد.
6. فتودینامیک تراپی:
در این روش، پزشک دارویی موضعی روی زگیل می زند و سپس با نور لیزر آن را فعال می کند. این نور DNA سلول های در حال رشد سریع را تخریب می کند.
باید بدانید که:
- درمان ها همیشه موفق نیستند و زگیل ها ممکن است برگردند
- برخی روش ها می توانند جای زخم بگذارند
- درمان ممکن است باعث گسترش زگیل به نقاط دیگر شود
بخوانید: تفاوت واکسن پاپیلوگارد و گارداسیل – پاپیلوگارد واقعا موثر است؟
آیا زگیل صاف خود به خود از بین می رود؟
بله! زگیل صاف در بسیاری از موارد بدون نیاز به درمان از بین می رود. آمارها نشان می دهد:
- 23 درصد زگیل ها ظرف 2 ماه ناپدید می شوند
- 30 درصد ظرف 3 ماه
- تا 78 درصد ظرف 2 سال
اما اگر نمی خواهید منتظر بمانید، گزینه های درمانی متعددی وجود دارد.

چه زمانی باید به پزشک مراجعه کنید؟
اگر هر یک از شرایط زیر را دارید، حتما به پزشک مراجعه کنید:
- زگیل ها دردناک شده اند
- در حال گسترش هستند
- تغییر رنگ داده اند
- بزرگ تر شده اند
- علائم عفونت مثل قرمزی و ترشح دارند
- روی کیفیت زندگی شما تاثیر گذاشته اند
مشاوره + درمان زگیل تختبخوانید: چرا زگیل تناسلی در زنان خطرناک است و باید درمان شود؟

تفاوت زگیل تخت با سایر ضایعات پوستی
گاهی تشخیص زگیل تخت از سایر مشکلات پوستی دشوار است. در اینجا تفاوت های کلیدی را بررسی می کنیم:
اسکین تگ (Skin Tag)
برچسب پوستی با یک پایه به پوست متصل است
برچسب ها بیشتر در چین های پوست مثل زیر بغل، پلک ها و زیر سینه ظاهر می شوند
زگیل صاف سطح هموار دارد و بدون پایه است
میلیا
میلیا کیست های کوچکی هستند که سطح گنبدی و سفت دارند
میلیا رنگ مرواریدی دارند در حالی که زگیل صاف زرد یا همرنگ پوست است
سطح زگیل صاف کاملا صاف است ولی میلیا برآمده تر به نظر می رسد
کراتوز سبورئیک
کراتوز سبورئیک سطح ناهموار، زبر و پوسته پوسته دارد
این ضایعات ظاهری چسبیده به پوست و مومی دارند
رنگ آن ها قهوه ای تیره تا سیاه است
جوش (آکنه)
جوش ها التهاب دارند و قرمز هستند
جوش ها ممکن است چرک داشته باشند
زگیل صاف التهاب و قرمزی ندارد
راه های پیشگیری زگیل تخت
- زگیل های خود را نخارانید و به آن ها دست نزنید: خاراندن باعث انتشار ویروس می شود
- بعد از لمس زگیل دست هایتان را بشویید: حتی اگر زگیل خودتان است
- از وسایل شخصی دیگران استفاده نکنید: حوله، لباس، تیغ و وسایل آرایشی را با کسی به اشتراک نگذارید
- از تماس پوستی با افراد مبتلا بپرهیزید
- در استخر و رختکن عمومی دمپایی بپوشید: کف این مکان ها محیط مناسبی برای زنده ماندن ویروس است
- بریدگی ها و خراش ها را فورا با آب و صابون بشویید: این کار از ورود ویروس جلوگیری می کند
- ناخن های خود را نجوید: جویدن ناخن پوست اطراف آن را زخم می کند
- اسباب بازی های کودکان را مرتب تمیز کنید: به خصوص اگر با بچه های دیگر بازی می کنند
- پوست خود را تمیز و خشک نگه دارید: رطوبت محیط مناسبی برای رشد ویروس فراهم می کند
تقویت سیستم ایمنی برای مقابله با زگیل
سیستم ایمنی قوی می تواند به بهبود سریع تر زگیل ها کمک کند. برای تقویت سیستم ایمنی:
- تغذیه سالم: میوه ها، سبزیجات و پروتئین کافی مصرف کنید
- ورزش منظم: فعالیت بدنی سیستم ایمنی را تقویت می کند
- خواب کافی: 7 تا 8 ساعت خواب شبانه ضروری است
- کاهش استرس: استرس مزمن سیستم ایمنی را ضعیف می کند
بخوانید: معرفی قطعی ترین شیوه های درمان زگیل واژن (موضعی و پیشرفته)
سوالات متداول درباره زگیل تخت
آیا زگیل تخت سرطانی می شود؟
خیر. تیپ های HPV که زگیل صاف ایجاد می کنند (3، 10، 28 و 49) کاملا خوش خیم هستند و هیچ ارتباطی با سرطان ندارند.
آیا زگیل صاف درد دارد؟
خیر. زگیل صاف درد یا خارش ایجاد نمی کند. اگر زگیل شما دردناک شد، به پزشک مراجعه کنید.
چقدر طول می کشد تا زگیل صاف خوب شود؟
بدون درمان، ممکن است چند ماه تا 2 سال طول بکشد. با درمان، زمان بهبودی کوتاه تر می شود اما تضمینی برای موفقیت کامل وجود ندارد.
آیا بعد از درمان زگیل برمی گردد؟
متاسفانه بله. زگیل تخت تمایل به بازگشت دارد حتی بعد از درمان موفق.
آیا می توانم زگیل صاف را در خانه درمان کنم؟
می توانید داروهای بدون نسخه حاوی اسید سالیسیلیک را امتحان کنید. اما چون زگیل صاف بیشتر روی صورت ظاهر می شود، بهتر است قبل از هر اقدامی با پزشک مشورت کنید تا از ایجاد جای زخم جلوگیری شود.
آیا زگیل تخت فقط در بچه ها دیده می شود؟
نه. اگرچه در کودکان و نوجوانان شایع تر است، اما بزرگسالان هم می توانند مبتلا شوند.
بخوانید: نمونه برداری واژن – تست پاپ اسمیر زنان + هزینه تست در تهران
سخن آخر در مورد زگیل صاف
زگیل صاف یک ضایعه پوستی خوش خیم و بی خطر است که توسط ویروس HPV ایجاد می شود. این زگیل ها کوچک، صاف و بدون درد هستند و به صورت گروهی روی صورت، دست ها یا پاها ظاهر می شوند. اگرچه بدون درمان هم از بین می روند، اما ممکن است ماه ها یا حتی سال ها طول بکشد.
اگر زگیل صاف دارید، نگران نباشید. این مشکل قابل کنترل است. اما اگر زگیل ها در حال گسترش هستند، ظاهرشان تغییر کرده یا روی اعتماد به نفس شما تاثیر گذاشته، با پزشک یا متخصص پوست مشورت کنید تا بهترین گزینه درمانی را انتخاب کنید. می توانید از دکتر سارا بهروان در این زمینه مشاوره و درمان بگیرید.
یادتان باشد که پیشگیری همیشه بهتر از درمان است. با رعایت بهداشت شخصی و اجتناب از تماس با افراد مبتلا، می توانید از ابتلا به این ویروس جلوگیری کنید.
منبع:
https://my.clevelandclinic.org/health/diseases/24337-flat-warts
https://www.healthline.com/health/skin-disorders/flat-warts
https://www.wederm.com/2023/12/22/flat-warts-what-they-look-like-and-how-to-treat-them/

